TOMO精准放疗:高适形、低损伤,为众多肿瘤患者带来治疗新选择
在肿瘤治疗领域,放射治疗作为三大核心手段之一,始终占据着举足轻重的地位。据统计,70%的肿瘤患者在治疗过程中都需要放射治疗的参与。随着医学技术的不断进步,TOMO(Tomotherapy)的螺旋断层放疗技术应运而生,它以其高精度、低损伤、广适应性、高效治疗和智能化特点,为众多肿瘤患者带来了前所未有的治疗体验。
我们将通过几个具体病例,深入解析TOMO放疗在临床实践中的卓越表现。
病例1:鼻咽癌治疗中的高适形性与低损伤
白先生(化名)在2024年9月确诊为鼻咽癌,低分化癌,经过4次化疗后达到部分缓解。
面对鼻咽位置深、周围要害器官众多且密集的挑战,TOMO放疗展现出了其高适形性的优势。通过螺旋CT扫描实时捕捉患者影像,TOMO放疗实现多子野照射,使高剂量区精准覆盖肿瘤,同时最大限度地减少对周围正常组织的照射。此外,TOMO放疗还能提供高剂量照射,并通过强度调节技术降低对腮腺、脊髓、脑干等敏感器官的损伤,从而提高鼻咽癌患者的生存率和生活质量。
其影像引导与自适应放疗功能,更是能在治疗过程中进行动态调整,确保每次照射的准确性,提高治疗的个性化和安全性。
TOMO剂量分布图

治疗前后对比图
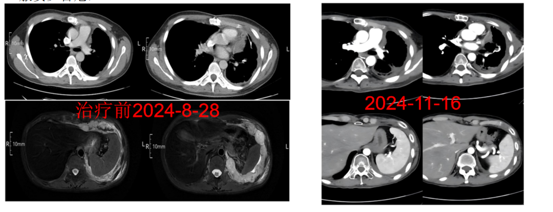
病例2:纵隔横纹肌肉瘤伴肺转移的大范围精准治疗
向先生(化名)在2024年8月确诊为纵隔横纹肌肉瘤,并伴有肺转移。在接受手术治疗和化疗后,针对肺转移瘤及胸膜病灶,他选择了TOMO放疗。
TOMO放疗的照射范围广泛,能够覆盖胸腔内的复杂病灶,实现多靶区同时照射,这对于处理向先生的病情非常有利。通过多叶光栅和螺旋CT扫描技术,TOMO放疗实现了对肿瘤的高精度调强照射,减少了对肺、心脏等敏感器官的损伤,提高了治疗效果。同时,其适应复杂解剖结构的能力,使得TOMO放疗能够处理形状不规则、位置复杂的胸膜病灶,确保治疗的安全性和有效性。

TOMO剂量分布图

治疗前后对比图
病例3:胸腺癌复发转移的精准守护
凌先生(化名),38岁,不幸罹患胸腺瘤,且多次复发,胸廓广泛转移伴胸腔积液。在多次手术和化疗耐药后,他来到了我院,寻求新的治疗希望。
TOMO放疗的360度螺旋断层照射技术,能够根据肿瘤的形状和大小,动态调整照射剂量,特别适用于形状复杂或位于关键器官附近的肿瘤。其治疗范围广,可同时治疗多个病灶,尤其适用于多发转移瘤或大面积肿瘤的治疗。对于凌先生的胸腺癌复发转移情况,TOMO放疗不仅能够精准打击肿瘤,还能最大限度地保护周围正常组织,提高治疗效果和患者的生活质量。

TOMO剂量分布图

治疗前后对比
我院自引进TOMO放疗系统以来,已为众多复杂难治性肿瘤患者提供了精准、安全的治疗服务。我们的专业团队由经验丰富的放疗专家、物理师和技术员组成,他们具备深厚的专业知识和丰富的临床经验,致力于为患者提供个性化的治疗方案和更好的治疗体验。
Q1TOMO究竟是什么?
TOMO放疗,全称螺旋断层放射治疗系统,是一种高度精准的放射治疗技术。它突破了传统放疗的局限,实现了360度螺旋照射,就像弹簧一样多圈累积,确保每一束射线都能精准打击肿瘤,同时最大程度保护周围正常组织。这种技术为肿瘤患者提供了更为安全、有效的治疗选择。
Q2TOMO放疗和传统放疗有什么区别?
360°螺旋照射
相比传统直线加速器的一圈照射,TOMO放疗的射线投影形状能与肿瘤在三维空间上高度适配,实现更全面的照射。
超快光栅技术
采用20毫秒的二元气动光栅,速度是普通加速器的100倍,能更快调制射线,更好适配肿瘤形状,提高治疗精度。
超大照射范围
照射范围达135厘米乘以40厘米,轻松应对全脑、全脊髓等大范围治疗,满足复杂肿瘤的治疗需求。

零误差精准治疗
验证射线源和治疗源为同一点,成像验证中心和治疗中心零误差,确保治疗的精准性。
图片、视频来源:安科锐公司 https://www.cnncaccuray.com/
Q3TOMO适合哪些肿瘤治疗?
TOMO放疗的临床应用范畴极为广泛,几乎涵盖了所有适合接受放射治疗的病例类型。它特别适用于以下情况:
多发病灶及大肿瘤
对于超出普通加速器治疗范围、常规放疗难以同时覆盖的全身多发病灶及病变较长的大肿瘤,TOMO放疗能够实现连续且同步的照射。
紧邻重要脏器的肿瘤
当肿瘤紧邻肝、肾、肺等对射线高度敏感的重要脏器时,如前列腺癌,宫颈癌等,TOMO放疗能够精准避开这些器官,保护敏感组织,提高放射剂量,降低治疗副反应。
解剖结构复杂的肿瘤
对于头颈部肿瘤、全脑全脊髓放疗等解剖结构复杂、治疗难度大的恶性肿瘤,TOMO放疗同样能够提供有效的治疗方案。


